Periodontologia Katowice
Zaniedbania w higienie jamy ustnej prowadzą do wielu bolesnych dolegliwości takich jak próchnica czy paradontoza. To właśnie paradontoza może doprowadzić do rozchwiania i/lub utraty zębów, pogorszenia się stanu zdrowia naszej jamy ustnej oraz rzutować na nasze zdrowie ogólne. Nieleczone stany zapalne w jamie ustnej mogą być przyczyną takich chorób ogólnych jak choroba reumatyczna (ras), zapalenie wsierdzia i mięśnia sercowego, kłębuszkowe zapalenie nerek, zapalenie tarczycy, tęczówki oka, zapalenia żył. Nie należy więc ignorować pierwszych niepokojących objawów takich jak krwawienie i obrzęk dziąseł, czy nieprzyjemny zapach z ust. Dzięki szybkiej reakcji i wdrożeniu skutecznego leczenia, paradontoza może zostać zatrzymana. Właśnie tym zajmuje się periodontologia.
Poznaj ekspertów dentestica Katowice
Za skutecznie przeprowadzone leczenie odpowiedzialni są przede wszystkim doświadczeni lekarze. Sprawdź, w czym specjalizują się eksperci pracujący w gabinecie, gdzie podnosimy swoje kwalifikacje, i jakie mamy podejście do pacjentów.
Dr n. med. Aleksandra Drozd
W dentestica zajmuje się, stomatologią estetyczną, protetyką i stomatologią zachowawczą, jednak jej domeną jest leczenie periodontologiczne oraz implantologiczne.
Do pracy podchodzi z pasją i zaangażowaniem. Stawia na najwyższą jakość usług oraz zadowolenie i komfort pacjentów. Priorytetem dla dr Drozd jest wykonywanie zabiegów profesjonalnie i precyzyjnie. Jak sama mówi: ,,Zdrowie pacjentów i finalny efekt estetyczny są dla mnie najważniejsze”.
Poznaj efekty naszego leczenia.
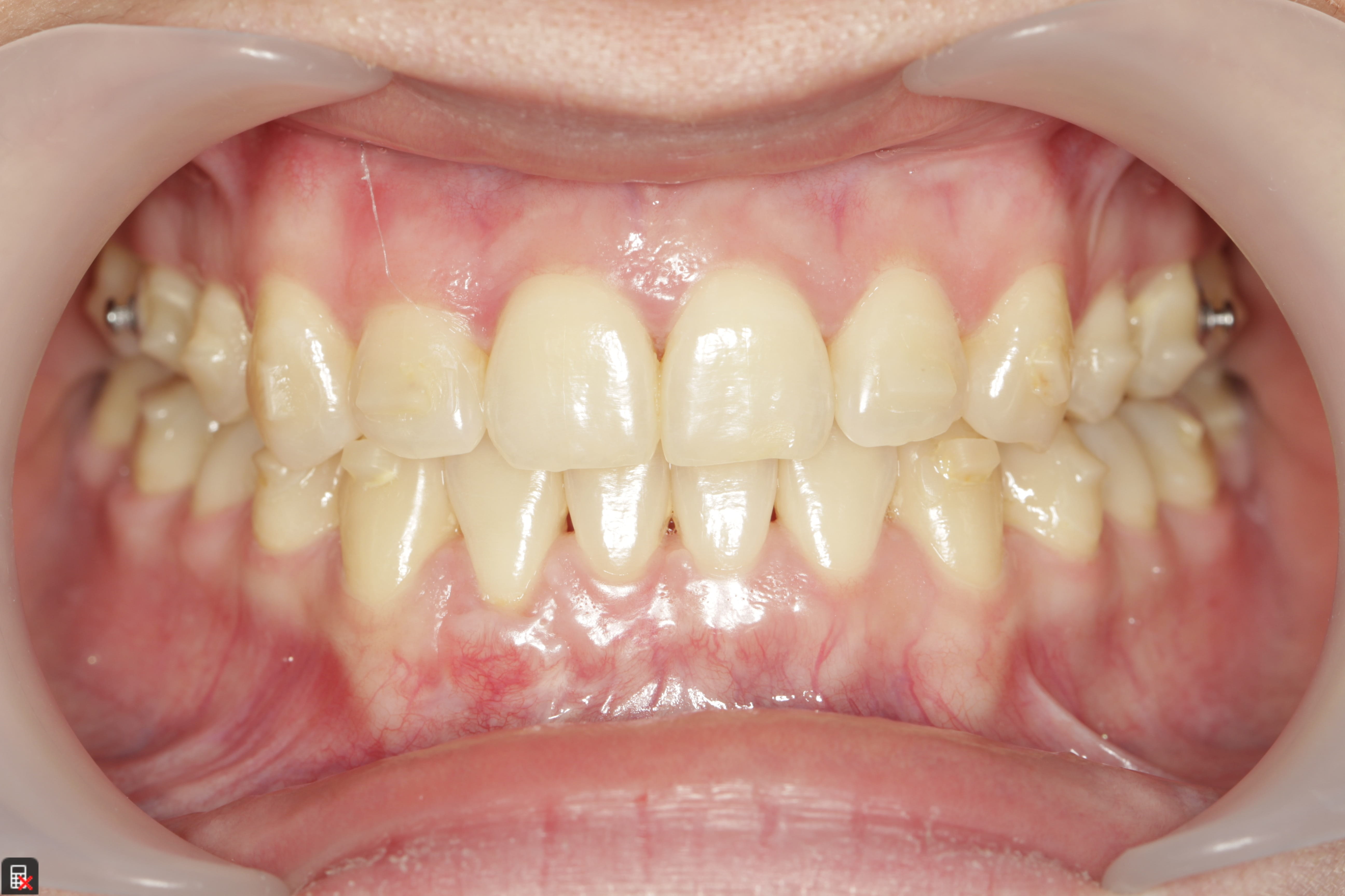
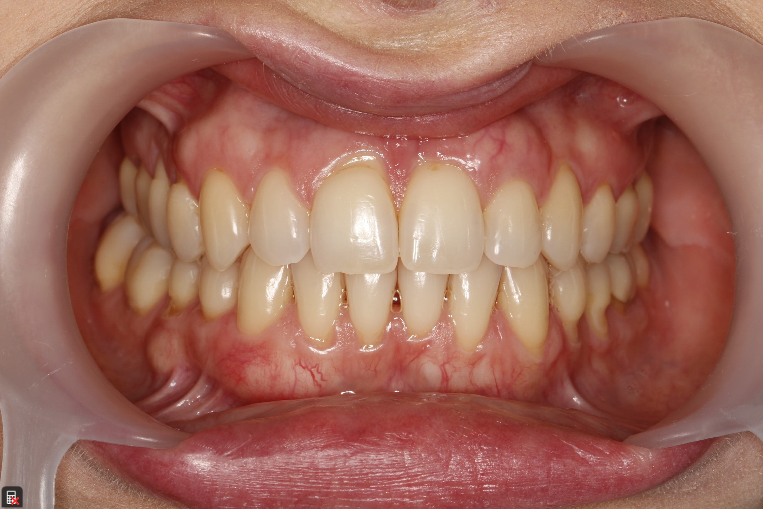
Metamorfoza #1 – Pokrycie obnażonych szyjek zębowych
Pani Mariola lat 47 z Katowic zgłosiła się z powodu obnażonych szyjek na obu górnych trójkach. W trakcie krótkiego, całkowicie bezbolesnego zabiegu chirurgicznego szyjki zębów zostały przykryte własnym dziąsłem pacjentki. Dzięki temu nadwrażliwość zębów na ciepło i zimno ustala.
Przed
Po
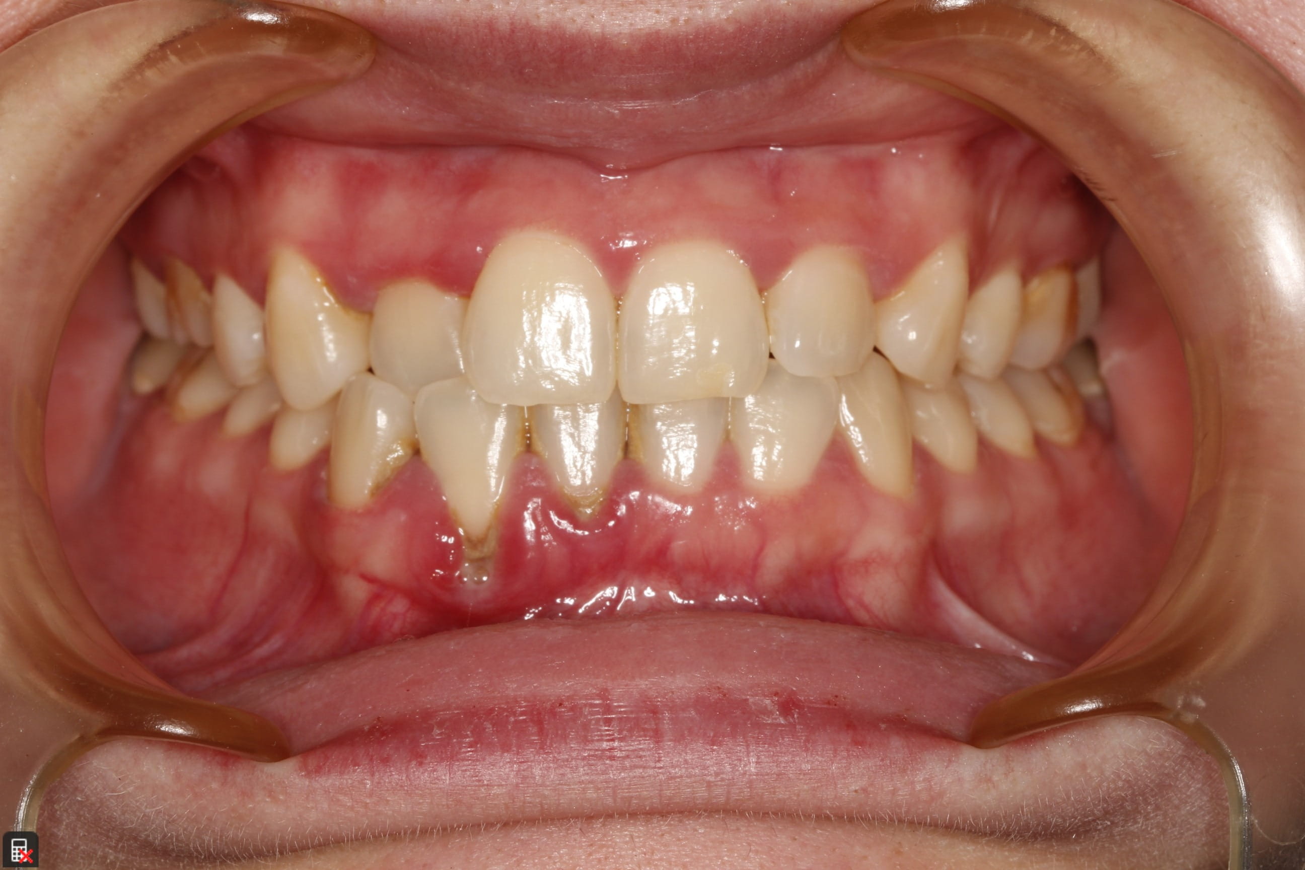
Metamorfoza #2 – Utworzenie dziąsła przy implancie
Przed
Po
Co warto wiedzieć o periodontologii?
Zadaniem periodontologii jest zapobieganie i leczenie chorób przyzębia tj. dziąseł i kości otaczających ząb oraz błony śluzowej jamy ustnej. Periodontolog może pomóc wyleczyć odsłonięte szyjki zębowe, obnażone szyjki czy powstające szpary między zębami. Zajmie się również krwawiącymi dziąsłami, które często świadczą o paradontozie — chorobie dziąseł. Ważne jest, żeby nie odkładać wizyty u specjalisty. Im szybciej podejmiemy leczenie, tym większa szansa na szybkie rozwiązanie problemu.
Periodontologia jest ściśle związana z higieną jamy ustnej, dlatego ważną rolę w leczeniu chorób z jej dziedziny stanowi bliska współpraca pacjenta z lekarzem, który współdziała z profesjonalnym gabinetem higieny i wykwalifikowaną higienistką. Należy też pamiętać, że po leczeniu periodontologicznym Pacjent przechodzi w tzw. fazę podtrzymującą (recall). Pacjent musi zatem ściśle przestrzegać zaleceń lekarza i kontynuować leczenie zgodnie ze wskazówkami higienistki i lekarza.
Współczesna stomatologia oferuje szereg rozwiązań, które wspierają periodontologię. W gabinecie dentestica Katowice wykonujemy zabiegi scalingu głębokiego, które skutecznie i całkowicie bezboleśnie usuwają kamień poddziąsłowy. Stosujemy też nowoczesne metody leczenia paradontozy z użyciem lasera Lasotronix. Dzięki temu możemy skutecznie i bezboleśnie dezynfekować kieszonki dziąsłowe (aktywna fotodezynfekcja) oraz wykorzystując światło emitowane przez laser wspomagać naturalną bioregenerację (biostymulacja laserowa) . Dzięki korzystaniu z nowoczesnych taśm z włókien szklanych, możemy szynować rozchwiane zęby, a w razie potrzeby regenerujemy kości wokół zębów utracone w skutek paradontozy tkanki kostnej. Czasem kiedy na skutek nieleczonej paradontozy dochodzi do utraty zębów rekomendujemy indywidualnie dopasowane rozwiązania ich odtworzenia w tym najnowocześniejsze – implanty . Specjaliści w gabinecie dentestica Katowice dopasują odpowiednie metody leczenia pod indywidualne potrzeby każdego pacjenta. Periodontologia w dentestica Katowice wspomaga również leczenie estetyczne w zakresie niwelacji uśmiechu dziąsłowego.
Umów się na wizytę!
Czym jest paradontoza?
Zadaniem periodontologii jest zapobieganie i leczenie chorób przyzębia tj. dziąseł i kości otaczających ząb oraz błony śluzowej jakby ustnej. Periodontolog może pomóc wyleczyć odsłonięte szyjki zębowe, obnażone szyjki czy powstające szpary między zębami. Zajmie się również krwawiącymi dziąsłami, które często świadczą o paradontozie — chorobie dziąseł. Ważne jest, żeby nie odkładać wizyty u specjalisty. Im szybciej podejmiemy leczenie, tym większa szansa na szybkie rozwiązanie problemu.
Periodontologia jest ściśle związana z higieną jamy ustnej, dlatego ważną rolę w leczeniu chorób z jej dziedziny stanowi bliska współpraca pacjenta z lekarzem, który współdziała z profesjonalnym gabinetem higieny i wykwalifikowaną higienistką. Należy też pamiętać, że po leczeniu periodontologicznym Pacjent przechodzi w tzw. fazę podtrzymującą (recall). Pacjent musi zatem ściśle przestrzegać zaleceń lekarza i kontynuować leczenie zgodnie ze wskazówkami higienistki i lekarza.
Współczesna stomatologia oferuje szereg rozwiązań, które wspierają periodontologię. W gabinecie dentestica Katowice wykonujemy zabiegi scalingu głębokiego, które skutecznie i całkowicie bezboleśnie usuwają kamień poddziąsłowy. Stosujemy też nowoczesne metody leczenia paradontozy z użyciem lasera Lasotronix. Dzięki temu możemy skutecznie i bezboleśnie dezynfekować kieszonki dziąsłowe (aktywna fotodezynfekcja) oraz wykorzystując światło emitowane przez laser wspomagać naturalną bioregenerację (biostymulacja laserowa) . Dzięki korzystaniu z nowoczesnych taśm z włókien szklanych, możemy szynować rozchwiane zęby, a w razie potrzeby regenerujemy kości wokół zębów utracone w skutek paradontozy tkanki kostnej. Czasem kiedy na skutek nieleczonej paradontozy dochodzi do utraty zębów rekomendujemy indywidualnie dopasowane rozwiązania ich odtworzenia w tym najnowocześniejsze – implanty . Specjaliści w gabinecie dentestica Katowice
dopasują odpowiednie metody leczenia pod indywidualne potrzeby każdego pacjenta. Periodontologia w dentestica Katowice wspomaga również leczenie estetyczne w zakresie niwelacji uśmiechu dziąsłowego.
Jakie są objawy paradontozy?
Pierwsze objawy paradontozy możemy zdiagnozować sami. Ważne jest, aby zgłosić się do gabinetu stomatologicznego jak najszybciej, aby rozpocząć leczenie. Do podstawowych objawów paradontozy należą m.in:
- nieprzyjemny zapach z ust
- zaczerwienienie i obrzęk dziąseł
- krwawienie dziąseł
- nadwrażliwość zębów
- odsłonięte szyjki zębowe
- chwiejność zębów
Paradontoza to choroba, której nie da się całkowicie wyleczyć — w gabinecie stomatologicznym możemy spowolnić tempo jej rozwoju. Po zdiagnozowaniu i przeprowadzeniu niezbędnych zabiegów, leczenie przechodzi w fazę podtrzymującą, która wymaga trzymania się zaleceń lekarza, oraz regularnych wizyt zarówno u stomatologa, jak i w gabinecie higienizacji.
Najczęściej zadawane pytania
Jak powstaje paradontoza?
Do powstania paradontozy przyczynić może się nieprawidłowa higiena jamy ustnej, w konsekwencji której na zębach gromadzi się kamień, prowadzący do rozwoju bakterii. Do paradontozy prowadzi również palenie papierosów i stresujący styl życia.
Jakie są objawy paradontozy?
Jednymi z pierwszych objawów paradontozy jest krwawienie i obrzęk dziąseł, oraz odsłonięte szyjki zębowe. O rozwijającej się paradontozie może również świadczyć nieprzyjemny zapach z ust. Jeżeli zauważysz u siebie którykolwiek z powyższych objawów, zdecydowanie umów się na wizytę u stomatologa.
Czy leczenie paradontozy boli?
Dzięki nowoczesnym metodom znieczulenia miejscowego, które stosujemy w gabinecie dentestica, leczenie paradontozy przebiega całkowicie bezboleśnie. Oferujemy również leczenie w pełnej narkozie.
