Ortodoncja Katowice

Krzywe zęby odbierają nam poczucie komfortu i pewności siebie. Uśmiech jest naszą wizytówką i dlatego coraz więcej osób decyduje się na leczenie przywracające odpowiednie ustawienie swoich zębów. Ale ładny wygląd to tylko część argumentu przemawiająca za leczeniem ortodontycznym. W większości przypadków jednak leczenie ortodontyczne jest uzasadnione zdrowotnie. Nieleczona wada zgryzu może prowadzić do paradontozy i utrudniać prawidłową higienę zębów, powodować starcia i /lub pękanie zębów. Często też niemożliwe jest przeprowadzenie metamorfozy uśmiechu, bez wcześniejszego wyprostowania zębów. Ale nigdy nie jest za późno! Ortodontę można odwiedzić w każdym wieku a skutecznie przeprowadzone leczenie pozwoli nam zachować zdrowe  i piękne zęby przez długie lata!

Marzysz o pięknym uśmiechu?

Poznaj ekspertów dentestica Katowice

Za skutecznie i bezpieczne przeprowadzone leczenie odpowiedzialni są przede wszystkim doświadczeni lekarze. Sprawdź, w czym specjalizują się eksperci pracujący w gabinecie, gdzie podnosimy swoje kwalifikacje, i jakie mamy podejście do Pacjentów.

lek. dent
Agata Bartoś

W dentestica zajmuje się:

Leczeniem ortodontycznym dorosłych i dzieci

Poznaj efekty naszego leczenia

Aldona, 37 lat

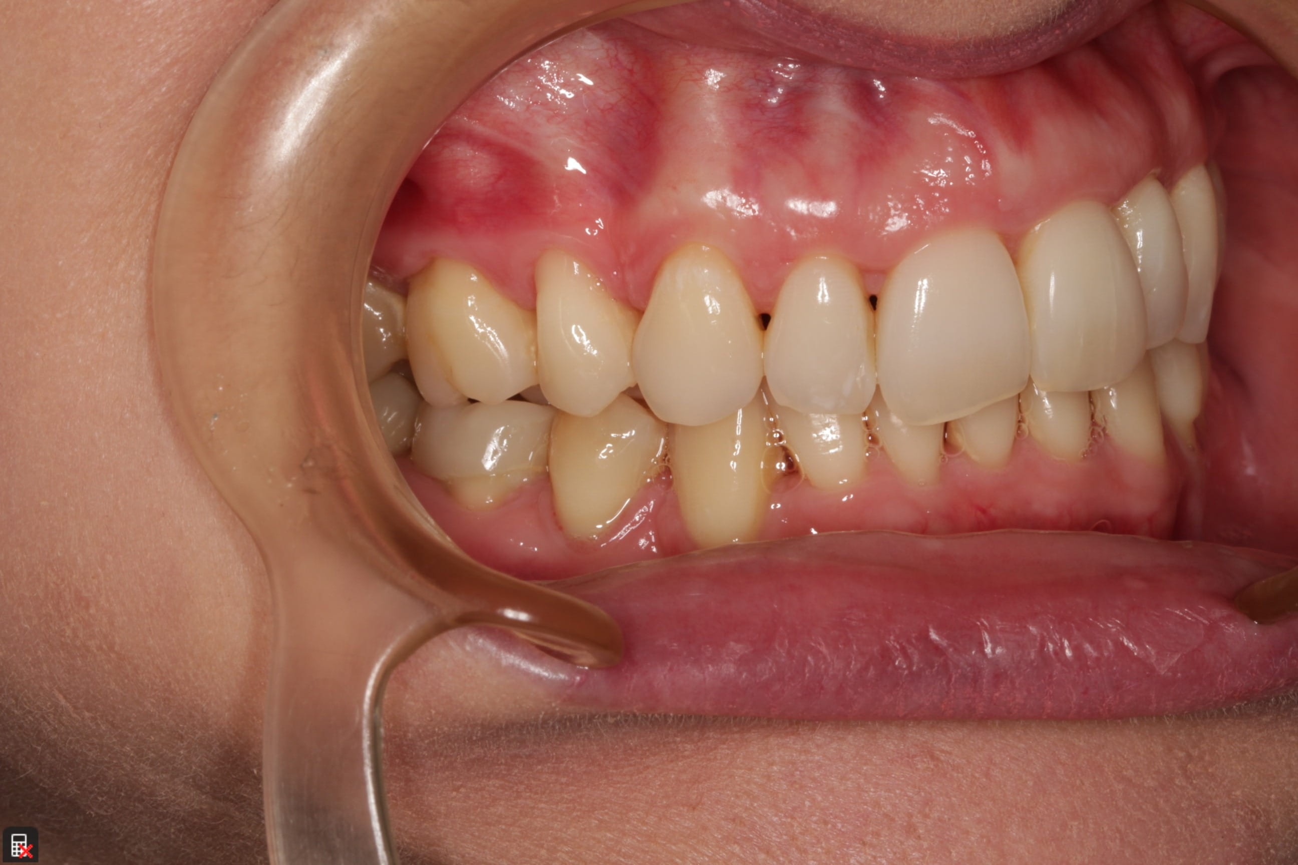
Pani Aldona z Katowic zgłosiła się z problemem krzywych zębów, które od lat były jej kompleksem.  W trakcie konsultacji okazało się że dodatkowym problemem Pacjentki jest próchnica i paradontoza w początkowym stadium. Po niezbędnej fazie higienizacyjnej, leczeniu  zachowawczym i wyprowadzeniu paradontozy do stanu stabilnego, zakwalifikowano Pacjentkę do leczenia ortodontycznego nakładkami w dentestica Katowice.  Metoda leczenia nakładkowego jest dla zębów i przyzębia łagodniejsza oraz bardziej przewidywalna niż klasyczne aparaty stałe. Po zakończonym leczeniu ortodontycznym, zachwycona Pacjenta powiedziała, że w życiu nie spodziewała się tak spektakularnego efektu!

Po
Przed
Przed Po

Marta, 48 lat

Pani Marta z Mikołowa zgłosiła się z powodu kompleksu związanego ze swoim uśmiechem. Przez nieprawidłowy zgryz układ tkanek miękkich w tym warg uniemożliwiał  Jej pokazanie w uśmiechu górnych zębów, co finalnie źle wpływało na samoocenę Pacjentki i odbiór Jej przez społeczeństwo. W trakcie konsultacji okazało się, że w związku z istniejącą od zawsze wadą ortodontyczną Pacjentka zmagała się z odsłoniętymi szykami zębowymi. Po niezbędnej  fazie higienizacyjnej i leczeniu zachowawczym, zakwalifikowano Pacjentkę do leczenia ortodontycznego metodą nakładkową. 

Przed leczeniem ortodontycznym pokryto obnażone szyjki zębowe przeszczepami łącznotkankowymi. Następnie przeprowadzono leczenie aparatem nakładowym. Metoda leczenia nakładkowego jest dla zębów i przyzębia łagodniejsza i bardziej przewidywalna niż klasyczne aparaty stałe. Po zakończonym leczeniu ortodontycznym w dentestica Katowice spełniło się marzenie Pacjentki o prawidłowym harmonijnym i zdrowym uśmiechu!

Po
Przed
Przed Po

Anna, 44 lata

Pani Anna z Katowic zgłosiła się z prośbą o metamorfozę uśmiechu. Podczas konsultacji diagnostycznej okazało się, że do pełnej metamorfozy ze względu na znaczne zwężenie obu łuków zębowych konieczne jest przeprowadzenie leczenia ortodontycznego. Po niezbędnej fazie higienizacji  i leczeniu zachowawczym skierowano Pacjentkę do leczenia ortodontycznego w dentestica Katowice. Dzięki przeprowadzonemu leczeniu ortodontycznemu i przywróceniu prawidłowego zgryzu, można było spełnić marzenie Pacjentki o harmonijnym uśmiechu.

Po
Przed
Przed Po

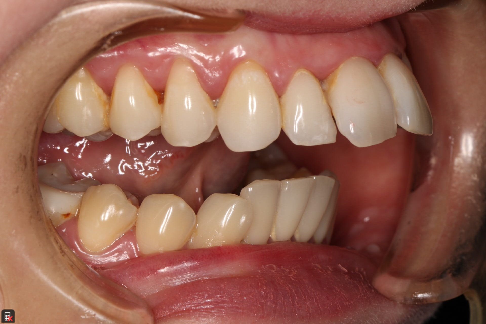
Robert, 42 lata

Pan Robert z Bytomia zgłosił się celem leczenia zębów i leczenia ortodontycznego. Po wstępnej fazie higienizacyjnej przeprowadzono leczenie zachowawcze wymieniając stare wypełnienia czyli oczyszczając wszystkie zęby z próchnicy, aby następnie odbudować je nowoczesnymi materiałami kompozytowymi przywracając im kształt, kolor i funkcję. Kolejnym etapem metamorfozy było leczenie aparatem nakładkowym Invisalign w dentestica Katowice.

Po
Przed
Przed Po

Maria, 68 lat

Pani Maria z Mikołowa zgłosiła się do gabinetu z problemem obnażonych szyjek zębowych. Wcześniej bezskutecznie leczyła się w Warszawie. W trakcie rozmowy zdradziła też, że marzy się jej piękny, równy, zdrowy i naturalny uśmiech. Po wstępnej fazie leczenia zachowawczego podjęła leczenie ortodontyczne Invisalign w dentestica Katowice. Celem leczenia było ustabilizowanie zgryzu, ponieważ pierwotną przyczyną obnażania się szyjek zębowych były nieprawidłowe obciążenia zgryzowe. Pacjentka długo „dojrzewała” do decyzji o wykonaniu licówek, ale jak zobaczyła efekt finalny powiedziała : „Pani Doktor, teraz żałuję, że tak długo zwlekałam. To właśnie ten efekt o jakim marzyłam!”.

Po
Przed
Przed Po

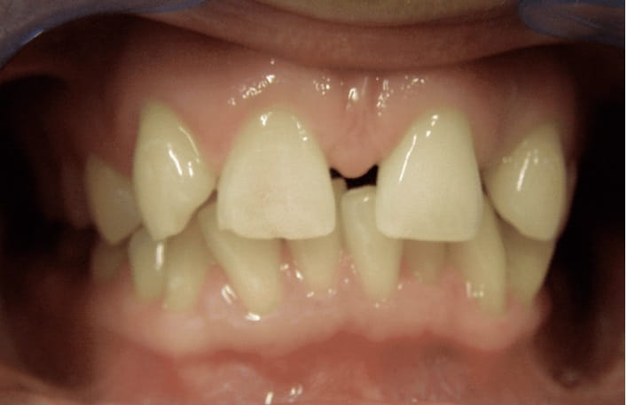
Lena, 26 lat

Pani Lena z Katowic zgłosiła się z powodu wrodzonego braku zawiązków górnych dwójek. Leczenie kompleksowe obejmowało leczenie ortodontyczne przeprowadzone aparatem klasycznym celem uszeregowania zębów i stworzenia miejsca na implanty w pozycjach brakujących dwójek. Po zdjęciu aparatu zęby Pacjentki zostały wybielone i wykonano ostatecznie korony porcelanowe na posadowionych wcześniej implantach. Zadowolona Pacjentka cieszy się swoim nowym uśmiechem już wiele lat.

Po
Przed
Przed Po

Co warto wiedzieć o aparatach na zęby?

W dentestica Katowice oferujemy leczenie aparatami nakładkowymi,  ruchomymi i stałymiAparaty nakładkowe to nowoczesna metoda leczenia ortodontycznego polegająca na noszeniu przeźroczystych nakładek na zęby przez prawie całą dobę. Lecznie jest dzięki tej metodzie niebolesne, szybsze i bardziej przewidywalne.Aparaty stałe są mocowane na zębach przez cały okres leczenia. W dentestica Katowice oferujemy aparaty stałe w wersji metalowej i kryształowej.
Aparaty ruchome to akrylowe płytki, które trzeba nosić minimum 4 godzinny dziennie i w nich spać, natomiast mogą być wyjmowane z ust samodzielnie przez Pacjentów.

Szukasz sprawdzonego rozwiązania, aby mieć piękny uśmiech

Jak przebiega leczenie?

Leczenie ortodontyczne zawsze rozpoczynamy od wizyty konsultacyjnej. Podczas pierwszego spotkania z lekarzem przeprowadzony zostaje szczegółowy wywiad i diagnostyka. Pacjent otrzymuje również wstępny plan leczenia wraz z przewidywanymi kosztami leczenia. Dzięki nowoczesnemu sprzętowi, którego używamy w dentestica Katowice, jesteśmy w stanie przeprowadzić pełną diagnostykę Pacjentów i przygotować się do procesu leczenia. Po omówieniu i zaakceptowaniu przez Pacjenta planu leczenia, następuje przygotowanie aparatu ortodontycznego — w zależności wybranego rozwiązania, zostają przygotowane nakładki lub założony aparat stały, a Pacjent otrzymuje szczegółowe instrukcje dotyczące funkcjonowania z aparatem.

Leczenie ortodontyczne wymaga również systematycznego pojawiania się w gabinecie na wizytach kontrolnych. Podczas wizyt kontrolnych, lekarz ocenia postępy leczenia i dopasowuje aparat do bieżącego układu zgryzu.

Całość leczenia ortodontycznego trwa najczęściej od kilku do kilkunastu miesięcy.

Rodzaje aparatów ortodontycznych 

Aparat nakładkowy
ortodoncja Katowice

Leczenia aparatem nakładkowym to innowacyjna metoda leczenia ortodontycznego z wykorzystaniem niewidocznych, przezroczystych nakładek na zęby. Nakładki można zdjąć na czas jedzenia i mycia zębów dzięki czemu łatwiejsze jest zachowanie higieny jamy ustnej. Co więcej leczenie aparatem nakładkowym jest szybkie, przewidywalne i skuteczne – może zakończyć się w kilka miesięcy.

Aparaty klasyczne

Leczenie klasycznym aparatem ortodontycznym polega na trwałym zamocowaniu na zębach metalowego aparatu składającego się z zamków, łuków i ligatur. Dzięki wytwarzanym przez łuk aparatu siły, zęby są przesuwane do właściwej, nowej pozycji. Klasyczny aparat ortodontyczny to skuteczne i ekonomiczne rozwiązanie, pomagające w przywróceniu prawidłowego zgryzu. Istnieje możliwość dobrania przezroczystych, kosmetycznych zamków, które są dyskretne i mało widoczne.

Najczęściej zadawane pytania

Czy leczenie ortodontyczne można rozpocząć w każdym wieku?

Ostateczną decyzję podejmuje lekarz po przeprowadzeniu szczegółowej diagnostyki, ale tak — leczenie ortodontyczne jest zwykle możliwe zarówno u dzieci, jak i u dorosłych.

Nie. Czasami do rozpoczęcia leczenia ortodontycznego należy się dodatkowo przygotować np. lecząc choroby przyzębia. W przypadku innych, przewlekłych chorób, ostateczną decyzję podejmuje lekarz prowadzący.

To zależy. Długość leczenia zależy od wielu czynników, m.in. od stanu zgryzu przed założeniem aparatu. Zwykle leczenie trwa od 12 do 30 miesięcy. 

Marzysz o pięknym uśmiechu?