Chirurgia stomatologiczna Katowice
Chirurgia stomatologiczna to dziedzina stomatologii zajmująca się leczeniem operacyjnym jamy ustnej i stanowi często jeden z etapów kompleksowego leczenia stomatologicznego. Dzięki wykorzystaniu nowoczesnych technologii, naszemu wieloletniemu doświadczeniu i wykształceniu kierunkowemu chirurgia stomatologiczna daje wieje możliwości związanych z przygotowaniem Pacjenta do dalszych prac protetycznych, implantologicznych i leczenia ortodontycznego. Stosowanie powiększenie i minimalnie inwazyjnych metody leczenia chirurgicznego pozwala skrócić czas gojenia, zwiekszyć przewidywalność zabiegu i dać komfort Pacjentowi.
Marzysz o pięknym uśmiechu?
Poznaj ekspertów dentestica Katowice
Za skutecznie i bezpieczne przeprowadzone leczenie odpowiedzialni są przede wszystkim doświadczeni lekarze. Sprawdź, w czym specjalizują się eksperci pracujący w gabinecie, gdzie podnosimy swoje kwalifikacje, i jakie mamy podejście do Pacjentów.
W dentestica zajmuje się:
Metamorfozy uśmiechu
Implanty
Wyrywanie ósemek
Protetyka
Implantoprotetyka
Stomatologia estetyczna
Periodontologia
Chirurgia stomatologiczna
Stomatologia zachowawcza
W dentestica zajmuje się:
Implanty
Periodontologia
Chirurgia stomatologiczna
Poznaj efekty naszego leczenia
Malwina, 38 lat
Pani Malwina z Chorzowa zgłosiła się z powodu stanu zapalnego w dolnym zębie trzonowym, ze względu na zaawansowanie procesu niemożliwie było uratowanie zęba i podjęto decyzję o jego usunięciu. Żeby zabezpieczyć kość pod planowany w przyszłości implant bezpośrednio po usunięciu zęba zregenerowano kość biomateriałem, aby potem wykonać zabieg implantacji i bezpiecznie posadowić koronę na implancie. Dzięki wykonanej regeneracji kości w dentestica Katowice podłoże kostne pod implant jest stabilne i zapewnia prawidłowe, długofalowe funkcjonowanie odbudowy na implancie. Bardzo ważne jest aby usuwać z organizmu stany zapalne i jednocześnie planować odbudowę podparcia kostnego pod przyszłe zęby, ponieważ brak nawet pojedynczego zęba zaburza funkcję całej jamy ustnej.
Pani Malwina z Chorzowa zgłosiła się z powodu stanu zapalnego w dolnym zębie trzonowym, ze względu na zaawansowanie procesu niemożliwie było uratowanie zęba i podjęto decyzję o jego usunięciu. Żeby zabezpieczyć kość pod planowany w przyszłości implant bezpośrednio po usunięciu zęba zregenerowano kość biomateriałem, aby potem wykonać zabieg implantacji i bezpiecznie posadowić koronę na implancie. Dzięki wykonanej regeneracji kości w dentestica Katowice podłoże kostne pod implant jest stabilne i zapewnia prawidłowe, długofalowe funkcjonowanie odbudowy na implancie. Bardzo ważne jest aby usuwać z organizmu stany zapalne i jednocześnie planować odbudowę podparcia kostnego pod przyszłe zęby, ponieważ brak nawet pojedynczego zęba zaburza funkcję całej jamy ustnej.
Antonii, 68 lat
Pan Antonii z Katowic zgłosił się z prośbą o metamorfozę uśmiechu w trakcie diagnostyki w dentestica Katowice okazało się, że jednym z problemów Pana Antoniego jest zatrzymana dolna trójka. Po niezbędnej diagnostyce usunięto z kości zatrzymany ząb i jednocześnie zregenerowano ubytek kostny po zębie pozyskanym ze zmielenia tego zęba biomateriałem (w specjalnej procedurze, młynek – Liberdent), wspomagając gojenie pozyskaną z krwi Pacjenta autogenną fibryną bogatopłytkową (PRF), dzięki takiemu postępowaniu utworzono stabilne podłoże pod przyszły implant, a używając materiałów autogennych zminimalizowano ryzyko. Kolejnym etapem było posadowienie implantu, obecnie Pacjent oczekuje na wykonanie korony na implancie.
Do tego czasu Pacjent jest zaopatrzony mostem tymczasowym żeby zamaskować brak dolnej trójki.
Pan Antonii z Katowic zgłosił się z prośbą o metamorfozę uśmiechu w trakcie diagnostyki w dentestica Katowice okazało się, że jednym z problemów Pana Antoniego jest zatrzymana dolna trójka. Po niezbędnej diagnostyce usunięto z kości zatrzymany ząb i jednocześnie zregenerowano ubytek kostny po zębie pozyskanym ze zmielenia tego zęba biomateriałem (w specjalnej procedurze, młynek – Liberdent), wspomagając gojenie pozyskaną z krwi Pacjenta autogenną fibryną bogatopłytkową (PRF), dzięki takiemu postępowaniu utworzono stabilne podłoże pod przyszły implant, a używając materiałów autogennych zminimalizowano ryzyko. Kolejnym etapem było posadowienie implantu, obecnie Pacjent oczekuje na wykonanie korony na implancie.
Do tego czasu Pacjent jest zaopatrzony mostem tymczasowym żeby zamaskować brak dolnej trójki.
Katarzyna, 38 lat
Pani Kasia z Tychów zgłosiła się z powodu resorpcji przy wcześniej leczonym kanałowo zębie. Resorpcja to nieodwracalny proces polegający na niszczeniu korzenia zęba w procesie autoimmunologicznym. Aby wyeliminowywać stan zapalny jedyną metodą jest usunięcie chorobowo zmienionego zęba. Ze względu na dolegliwości bólowe niezwłocznie przystąpiono do wykonania zabiegu usunięcia zęba, jednocześnie zabezpieczając kość pod planowany w przyszłości implant. Ubytek po usuniętych korzeniach zęba zregenerowano biomateriałem oraz odwirowanym osoczem własnym Pacjentki (PRF).
Po uformowaniu kości w miejscu usuniętych korzeni, posadowiono implant.
Pacjentka oczekuje na wykonanie korony.
Pani Kasia z Tychów zgłosiła się z powodu resorpcji przy wcześniej leczonym kanałowo zębie. Resorpcja to nieodwracalny proces polegający na niszczeniu korzenia zęba w procesie autoimmunologicznym. Aby wyeliminowywać stan zapalny jedyną metodą jest usunięcie chorobowo zmienionego zęba. Ze względu na dolegliwości bólowe niezwłocznie przystąpiono do wykonania zabiegu usunięcia zęba, jednocześnie zabezpieczając kość pod planowany w przyszłości implant. Ubytek po usuniętych korzeniach zęba zregenerowano biomateriałem oraz odwirowanym osoczem własnym Pacjentki (PRF).
Po uformowaniu kości w miejscu usuniętych korzeni, posadowiono implant.
Pacjentka oczekuje na wykonanie korony.
Maciej, 17 lat
Pan Maciej z Katowic zgłosił się celem usunięcia ósemek zleconym przez lekarza ortodontę po zakończonym leczeniu. Nie usunięte na czas ósemki mogą wyżynając się zniweczyć efekt leczenia ortodontycznego, poprzez przesunięcie ustawionych już w łuku zębów. Zabieg przeprowadzono w narkozie usuwając zatrzymane ósemki minimalnie inwazyjnie tj. atraumatycznie i zaopatrując rany poekstrakcyjne odwirowanym osoczem Pacjenta (PRF). Gojenie przebiegało prawidłowo, bez powikłań i dolegliwości.
Pan Maciej z Katowic zgłosił się celem usunięcia ósemek zleconym przez lekarza ortodontę po zakończonym leczeniu. Nie usunięte na czas ósemki mogą wyżynając się zniweczyć efekt leczenia ortodontycznego, poprzez przesunięcie ustawionych już w łuku zębów. Zabieg przeprowadzono w narkozie usuwając zatrzymane ósemki minimalnie inwazyjnie tj. atraumatycznie i zaopatrując rany poekstrakcyjne odwirowanym osoczem Pacjenta (PRF). Gojenie przebiegało prawidłowo, bez powikłań i dolegliwości.
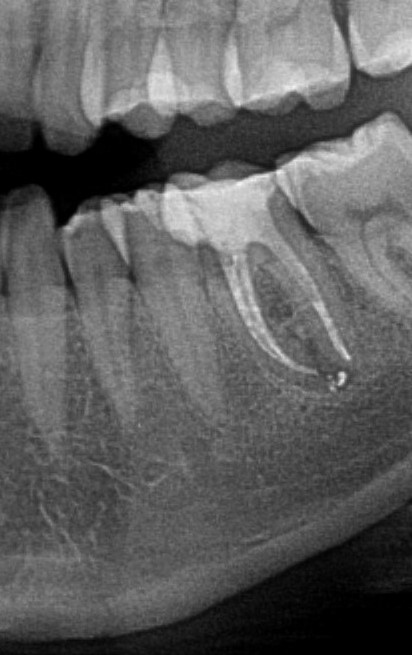
Jarosław, 27 lat
Pan Jarosław z Bytomia zgłosił się celem usunięcia ósemek. Pacjent okresowo borykał się z dolegliwościami związanymi z nawracającymi stanami zapalnymi dziąseł w okolicy zatrzymanych ósemek. Zabieg przeprowadzono w znieczuleniu miejscowym minimalnie inwazyjnie tj. atraumatycznie usunięto zatrzymane ósemki zaopatrując rany poekstrakcyjne odwirowanym osoczem Pacjenta (PRF). Mimo skomplikowania zabiegu wynikającego z zakrzywienia wierzchołków korzeni zębów oraz bardzo niekorzystnego położenia dolnej ósemki okres gojenia przebiegł spokojnie i bez powikłań.
Pan Jarosław z Bytomia zgłosił się celem usunięcia ósemek. Pacjent okresowo borykał się z dolegliwościami związanymi z nawracającymi stanami zapalnymi dziąseł w okolicy zatrzymanych ósemek. Zabieg przeprowadzono w znieczuleniu miejscowym minimalnie inwazyjnie tj. atraumatycznie usunięto zatrzymane ósemki zaopatrując rany poekstrakcyjne odwirowanym osoczem Pacjenta (PRF). Mimo skomplikowania zabiegu wynikającego z zakrzywienia wierzchołków korzeni zębów oraz bardzo niekorzystnego położenia dolnej ósemki okres gojenia przebiegł spokojnie i bez powikłań.
Klaudia, 16 lat
Pani Klaudia z Mysłowic zgłosiła się celem usunięcia zawiązków ósemek zleconym przez ortodontę po zakończonym leczeniu ortodontycznym. Nie usunięte na czas ósemki mogą wyżynając się zniweczyć efekt leczenia, poprzez przesunięcie ustawionych już w łuku zębów. Zabieg przeprowadzono w narkozie usuwając minimalnie inwazyjnie tj. atraumatycznie zatrzymane ósemki i zaopatrując rany poekstrakcyjne odwirowanym osoczem Pacjentki (PRF). Usunięcie zawiązków jest dla Pacjenta najmniej inwazyjnym sposobem pozbycia się zębów mądrości.
Pani Klaudia z Mysłowic zgłosiła się celem usunięcia zawiązków ósemek zleconym przez ortodontę po zakończonym leczeniu ortodontycznym. Nie usunięte na czas ósemki mogą wyżynając się zniweczyć efekt leczenia, poprzez przesunięcie ustawionych już w łuku zębów. Zabieg przeprowadzono w narkozie usuwając minimalnie inwazyjnie tj. atraumatycznie zatrzymane ósemki i zaopatrując rany poekstrakcyjne odwirowanym osoczem Pacjentki (PRF). Usunięcie zawiązków jest dla Pacjenta najmniej inwazyjnym sposobem pozbycia się zębów mądrości.
Klaudiusz, 35 lat
Pan Klaudiusz z Tychów zgłosił się celem usunięcia ósemek z powodu nawracających stanów zapalnych dziąsła w okolicy zatrzymanych ósemek i postępującego przesuwania się siódemek spowodowanego napieraniem na nie ósemkami. Zabieg przeprowadzono w znieczuleniu miejscowym minimalnie inwazyjnie tj. atraumatycznie usunięto zatrzymane ósemki i zaopatrzono rany poekstrakcyjne odwirowanym osoczem Pacjenta (PRF). Ze względu na znaczne zakrzywienie korzeni dolnej ósemki konieczne było jej przecięcie. Dzięki zastosowanym procedurom minimalnie inwazyjnym i użyciu fizjodyspensera do preparacji okres gojenia przebiegł bez komplikacji.
Pan Klaudiusz z Tychów zgłosił się celem usunięcia ósemek z powodu nawracających stanów zapalnych dziąsła w okolicy zatrzymanych ósemek i postępującego przesuwania się siódemek spowodowanego napieraniem na nie ósemkami. Zabieg przeprowadzono w znieczuleniu miejscowym minimalnie inwazyjnie tj. atraumatycznie usunięto zatrzymane ósemki i zaopatrzono rany poekstrakcyjne odwirowanym osoczem Pacjenta (PRF). Ze względu na znaczne zakrzywienie korzeni dolnej ósemki konieczne było jej przecięcie. Dzięki zastosowanym procedurom minimalnie inwazyjnym i użyciu fizjodyspensera do preparacji okres gojenia przebiegł bez komplikacji.
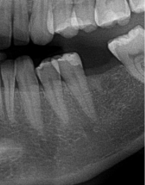
Blanka, 17 lat
Pani Blanka z Rudy Śląskiej zgłosiła się celem usunięcia ósemek zleconym przez ortodontę przed założenie apartu ortodontycznego. Nie usunięte na czas ósemki mogą wyżynając się zniweczyć efekt leczenia, poprzez przesunięcie ustawionych już w łuku zębów. Zabieg przeprowadzono w narkozie usuwając minimalnie inwazyjnie tj. atraumatycznie zatrzymane ósemki i zaopatrując rany poekstrakcyjne odwirowanym osoczem Pacjentki (PRF). Ze względu na znaczne zaklinowanie się dolnej ósemki o siódemkę, konieczne było częściowe odcięcie jej korony w trakcie zabiegu.
Pani Blanka z Rudy Śląskiej zgłosiła się celem usunięcia ósemek zleconym przez ortodontę przed założenie apartu ortodontycznego. Nie usunięte na czas ósemki mogą wyżynając się zniweczyć efekt leczenia, poprzez przesunięcie ustawionych już w łuku zębów. Zabieg przeprowadzono w narkozie usuwając minimalnie inwazyjnie tj. atraumatycznie zatrzymane ósemki i zaopatrując rany poekstrakcyjne odwirowanym osoczem Pacjentki (PRF). Ze względu na znaczne zaklinowanie się dolnej ósemki o siódemkę, konieczne było częściowe odcięcie jej korony w trakcie zabiegu.
Dorota, 40 lat
Pani Dorota z Katowic zgłosiła się celem usunięcia ósemek, z powodu nawracających stanów zapalnych dziąseł nad ósemkami. Zabieg przeprowadzono w narkozie usuwając minimalnie inwazyjnie tj. atraumatycznie zatrzymane ósemki i zaopatrując rany poekstrakcyjne odwirowanym osoczem Pacjenta (PRF).
Pani Dorota z Katowic zgłosiła się celem usunięcia ósemek, z powodu nawracających stanów zapalnych dziąseł nad ósemkami. Zabieg przeprowadzono w narkozie usuwając minimalnie inwazyjnie tj. atraumatycznie zatrzymane ósemki i zaopatrując rany poekstrakcyjne odwirowanym osoczem Pacjenta (PRF).
Marcelina, 15 lat
Pani Marcelina zgłosiła się celem usunięcia ósemek zleconym przez ortodontę przed leczeniem ortodontycznym. Nie usunięte na czas ósemki mogą wyżynając się zniweczyć efekt leczenia, poprzez przesunięcie ustawionych już w łuku zębów. Zabieg przeprowadzono w narkozie usuwając minimalnie inwazyjnie tj. atraumatycznie zatrzymane ósemki i zaopatrując rany poekstrakcyjne odwirowanym osoczem Pacjentki (PRF). Usunięcie zębów przed zakończeniem formowania się wierzchołków korzeni jest dla Pacjenta łatwiejszym technicznie i mniej obciążającym zabiegiem niż usuwanie całkowicie uformowanych ósemek, co jest spowodowane nieprzewidywalną anatomią korzeni trzecich zębów trzonowych.
Pani Marcelina zgłosiła się celem usunięcia ósemek zleconym przez ortodontę przed leczeniem ortodontycznym. Nie usunięte na czas ósemki mogą wyżynając się zniweczyć efekt leczenia, poprzez przesunięcie ustawionych już w łuku zębów. Zabieg przeprowadzono w narkozie usuwając minimalnie inwazyjnie tj. atraumatycznie zatrzymane ósemki i zaopatrując rany poekstrakcyjne odwirowanym osoczem Pacjentki (PRF). Usunięcie zębów przed zakończeniem formowania się wierzchołków korzeni jest dla Pacjenta łatwiejszym technicznie i mniej obciążającym zabiegiem niż usuwanie całkowicie uformowanych ósemek, co jest spowodowane nieprzewidywalną anatomią korzeni trzecich zębów trzonowych.
Olga, 28 lat
Pani Olga z Mikołowa zgłosiła się celem usunięcia ósemek z powodu nawracających stanów zapalnych dziąsła w okolicy zatrzymanych ósemek. Zabieg przeprowadzono w narkozie, minimalnie inwazyjnie tj. atraumatycznie usunięto zatrzymane ósemki i zaopatrzono rany poekstrakcyjne odwirowanym osoczem Pacjenta (PRF).
Pani Olga z Mikołowa zgłosiła się celem usunięcia ósemek z powodu nawracających stanów zapalnych dziąsła w okolicy zatrzymanych ósemek. Zabieg przeprowadzono w narkozie, minimalnie inwazyjnie tj. atraumatycznie usunięto zatrzymane ósemki i zaopatrzono rany poekstrakcyjne odwirowanym osoczem Pacjenta (PRF).
Co warto wiedzieć o chirurgi stomatologicznej?
Chirurgia stomatologiczna obejmuje szereg zabiegów, pomagających usunąć ogniska zakażenia i przywrócić prawidłowe funkcjonowanie naszych zębów i dziąseł. Do najczęściej wykonywanych zabiegów z zakresu chirurgii stomatologicznej należy m.in.: usuwanie zębów, resekcje korzeni, wydłużenie korony klinicznej, regeneracja kości (w tym najlepszym rozwiązaniem jest wykorzystanie własnych tkanek Pacjenta takich jak usunięty wcześniej i zmielony w odpowiedniej procedurze ząb), zamykanie zatoki szczękowej, przeszczepy dziąseł czy implantologia.
W dentestica Katowice dbamy o to, żeby każdy zabieg z zakresu chirurgi stomatologicznej był w pełni bezbolesny dla Pacjentów. Oferujemy skuteczne znieczulenia miejscowe, które pozwalają na komfortowy przebieg wizyty. Zwracamy rownież uwagę na to, aby wszystkie zabiegi przebiegały w sposób możliwie mało ingerujący w naturalne tkanki Pacjenta, i wspierały szybką rekonwalescencję czyli były minimalnie inwazyjne. Dodatkowo stosujemy zabiegi laserowe przed i po zabiegach z zakresu chirurgii stomatologicznej, co pozwala w nowoczesny, bezinwazyjny sposób przyspieszyć czas gojenia pozabiegowego, zmniejszyć lub zniwelować obrzęk. Jednocześnie zapewniamy też możliwość wykonania ich w narkozie. Dzięki takiemu rozwiązaniu Pacjent śpi podczas całego zabiegu.
Marzysz o pięknym uśmiechu?
Bezbolesna leczenie stomatologiczne
Zdajemy sobie sprawę, że to właśnie strach przed bólem często powstrzymuje Pacjentów przed pojawieniem się w gabinecie stomatologicznym. Dzięki metodom, które stosujemy, zabiegi z zakresu chirurgi stomatologicznej przebiegają w pełnym komforcie Pacjenta, bez żadnych dolegliwości bólowych.
Jeżeli jednak standardowe, miejscowe znieczulenie nie wchodzi w grę, oferujemy możliwość skorzystania ze znieczulenia ogólnego — narkozy. Rozwiązanie to jest całkowicie bezpieczne i odbywa się pod czujnym okiem doświadczonego anestezjologa, a Pacjent budzi się z głębokiego snu po zakończeniu całego zabiegu.
Planowanie zabiegów chirurgicznych
Każdy zabieg poprzedzony jest szczegółową wizytą konsultacyjną i przygotowaniem planu leczenia. Do diagnostyki Pacjentów używamy innowacyjnych technologii takich jak radiowizografia, tomografia komputerowa czy scanownaie, które pozwalają nam podejść do problemu holistycznie i szybko zlokalizować źródło problemów. Dzięki temu późniejsze leczenie przebiega szybciej, i jest całkowicie przewidywalne.
Chirurgia stomatologiczna w dentestica Katowice
Od wielu lat stawiamy na komfort Pacjentów, tym samym nie idąc na kompromisy w jakości wykonywanych przez nas usług. W zabiegach z zakresu chirurgi stomatologicznej wspieramy się nowoczesnymi narzędziami, takimi jak laser firmy Lastronix, który pomaga nam zarówno podczas zabiegu, jak i po nim, przyspieszając znacząco procesy rekonwalescencji.
Ekstrakcja zęba
Zabieg usunięcia zęba przebiega z wykorzystaniem specjalistycznych narzędzi do atraumatycznego usuwania zębów i nowoczesnych metod znieczulenia. Dzięki temu zapewniamy największą skuteczność i bezpieczeństwo Pacjenta. Każde usunięcie zęba w dentestica Katowice przeprowadzane jest z użyciem narzędzi do atraumatycznego ich usuwania tzn. usuwania zębów w łagodny sposób, aby nie naruszyć kości . Standardowo wspieramy gojenie autogenną fibryną bogatopłytkową Pacjenta (PRF).Pozwala to znacznie przyspieszyć gojenie i zapobiec niepożądanym powikłaniom. Po zabiegu korzystamy z lasera, który dzięki terapiom przeciwobrzękowym i przeciwbólowym pozwala zminimalizować ryzyko wystąpienia suchego zębodołu, obrzęku czy szczękościsku.
Regeneracja kości
Polega na uzupełnieniu bezpośrednio po usunięciu zęba ubytku w kości (miejsca po korzeniu), aby nie doszło do zapadnięcia się kości, które skutkuje często niemożnością wszczepienia implantu, bądź brakiem podparcia dla protezy. Zabieg ten stosujemy też do odtwarzania kości zniszczonej paradontozą. Dodatkowo zawsze wspieramy gojenie autogenną fibryną bogatopłytkową Pacjenta (PRF).Pozwala to znacznie przyspieszyć gojenie i zapobiec niepożądanym powikłaniom.
Oprócz standardowych materiałów kościotwórczych (granulat składem chemicznym zgodny z naszą kością) stosujemy też innowacyjną, ale sprawdzona metodę regeneracji kości zmielonym w specjalnej procedurze zębem własnym Pacjenta, stosując w tym celu młynek Liberdent.
Ekstrakcja zębów zatrzymanych
Ząb, który nie wyrżnął się całkowicie, może prowadzić do licznych powikłań i dolegliwości bólowych. Usunięcie takiego zęba pozwoli przywrócić zdrowie i pełną fukcjonalność jamy ustnej. Jak wszystkie zabiegi chirurgiczne w dentestica Katowice również i ten przeprowadzany jest techniką minimalnie inwazyjną z poszanowaniem biologii i tkanek pacjenta oraz wspierany autogenną fibryną bogatopłytkową Pacjenta (PRF).Pozwala to znacznie przyspieszyć gojenie i zapobiec niepożądanym powikłaniom.
Usunięcie ósemek / zawiązków ósemek
Zęby mądrości są często przyczyną wielu dolegliwości. Przyczyniają się do powstania wad ortodontycznych, powodują ból, są też wyjątkowo narażone na rozwój próchnicy. Dzięki naszym minimalnie inwazyjnym metodom usuwanie ósemek przebiega całkowicie bezboleśnie, a zabieg nie wiąże się z późniejszymi dolegliwościami takimi jak suchy zębodół.
Resekcja korzenia
Usunięcie wierzchołka korzenia jest stosowane wtedy, gdy wcześniejsze leczenie endodontyczne nie przyniosło oczekiwaych efektów. Zabieg ten jest całkowicie bezbolesny i bezpieczny, a dzięki jego przeprowadzeniu, jesteśmy w stanie przywrócić prawidłowe funkcjonowanie jamy ustnej bez konieczności usuwania zęba.
Podcięcie więdzidełka
Podcięcie wędzidełka może wspomóc leczenie wad zgryzu i diastemy (szpary między jedynkami) Zabieg wykonuje się laserowo, dzięki czemu nie ma konieczności późniejszego zszywania tkanek.
Wydłużenie korony klinicznej
Zabieg ten jest konieczny w przypadku, kiedy ząb jest zniszczony poddziąsłowo, a ząb jest odbudowany z pomocą korony protetycznej lub w przebiegu leczenia uśmiechu dziąsłowego.
Podniesienie dna zatoki szczękowej
Może być konieczne przed przeprowadzeniem leczenia implantologicznego. Zabieg polega na stworzeniu kości dla implantu i odbywa się poprzez wypełnienie części zatoki szczękowej bezpiecznym materiałem kościotwórczym ,pokrycie jej śluzówka i zszycie miejsca zabiegu. Rekonstrukcja tkanki trwa kilka tygodni, i jest całkowicie bezpieczna dla Pacjenta.
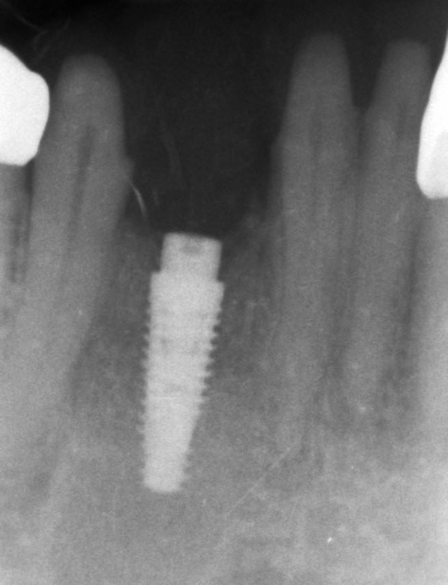
Wszczepianie implantów
Wszczepianie implantów to najczęściej wykonywana procedura mająca na celu odtworzenie korzenia brakującego zęba. Zabieg odbywa się w znieczuleniu miejscowym ( na życzenie Pacjentam może być przeprowadzony w narkozie) i polega na odsłonięciu dziąsła, wszczepieniu w kość tytanowej śrubki) i zaszyciu dziąsła. Po okresie integracji można implant obciążyć koroną.
Najczęściej zadawane pytania
Czy zawsze trzeba usuwać ósemki?
Zęby mądrości tzw. ósemki, choć nie są niezbędne do prawidłowego funkcjonowania jamy ustnej nie zawsze należy usuwać. Jeżeli natomiast zęby mądrości są zaklinowane o siódemki, nie rokują prawidłowego wyrżnięcia, lub nie ma dla nich miejsca w łuku zębowym, pojawiają się w ich okolicy stany zapalne i/ lub ból, ich ustawienie uniemożliwia prawidłowe i skuteczne usuwanie płytki nazębnej konieczna jest konsultacja chirurgiczna, podczas której lekarz przeprowadza badanie i precyzyjna diagnostykę ustalając wskazania do ekstrakcji.
Czy zabiegi chirurgii stomatologicznej są bolesne?
Wszystkie zabiegi są standardowo wykonywane w znieczuleniu miejscowym, które w obecnych czasach jest całkowicie skuteczne i bezpieczne. Nowoczesna stomatologia oferuje szereg rozwiązań tym możliwość wykonania zabiegów w znieczuleniu ogólnym czyli narkozie, dzięki której Pacjent pod opieką zespołu anestezjologicznego „przesypia” zabieg.
Na co należy zwrócić uwagę przed zdecydowaniem się na zabieg z zakresu chirurgii stomatologicznej ?
Przede wszystkom należy zwrócić uwagę na doświadczenie i wykształcenie lekarzy mających wykonać zabieg oraz na wyposażenie gabinetu. Lekarze wykonują zabiegi z zakresu mikrochirurgii i pracujący w powiększeniu wukotają zabiegi precyzyjnie. Nie bez znaczenia jest również wyposażenie sprzętowe placówki. Takie urządzenia jak radiowizjografia pozwala lekarzowi na dokładne zaplanowanie zabiegu. Możliwość skorzystania z nowoczesnych technologii eliminacji bólu jak narkoza i odwirowanej z osocza własnego Pacjenta fibryny bogatopłytkowej (PRF) zapewniają Pacjentowi komfort w trakcie zabiegu oraz wykorzystanie lasera w przebiegu gojenia pozabiegowego umożliwia zmniejszenie dolegliwości w tym okresie.
Adres i kontakt
Godziny otwarcia
- Poniedziałek: 9:00-20:00
- Wtorek: 9:00-20:00
- Środa: 9:00-20:00
- Czwartek: 9:00-20:00
- Piątek: 9:00-17:00